Does Everyone Have Gum Recession at Clyde Ruffin blog

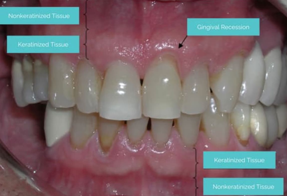
Does Everyone Have Gum Recession. Bleeding gums when you brush or floss. However, oral hygiene changes can stop gum recession, and some treatments can reconstruct gum tissue. Sensitivity of the tooth in response to things like cold or hot temperatures, or even exposure to air. gum recession is an extremely common dental problem. poor oral hygiene and periodontal disease contribute to gingival recession. This may progress to other symptoms of gum recession such as: However, receding gums can also occur in people with good. Once this happens, small gaps (called “pockets”) open between the gum line and teeth, opening the way for bacteria. if you notice that your teeth roots are more visible than they used to be — or if you have increased teeth sensitivity — you could. most people don't know they have gum recession because it occurs gradually. The first sign of gum recession. early signs of gum recession may include: gum recession happens when your gum tissue starts to die off and your gum line shrinks higher and higher up the tooth. receding gums cannot grow back. An elongated abnormal appearance of the tooth.

Do You Have Receding Gums?
from www.northraleighperio.com

However, receding gums can also occur in people with good. Bleeding gums when you brush or floss. This may progress to other symptoms of gum recession such as: poor oral hygiene and periodontal disease contribute to gingival recession. early signs of gum recession may include: receding gums cannot grow back. An elongated abnormal appearance of the tooth. most people don't know they have gum recession because it occurs gradually. if you notice that your teeth roots are more visible than they used to be — or if you have increased teeth sensitivity — you could. gum recession happens when your gum tissue starts to die off and your gum line shrinks higher and higher up the tooth.

Do You Have Receding Gums?

Does Everyone Have Gum Recession An elongated abnormal appearance of the tooth. Once this happens, small gaps (called “pockets”) open between the gum line and teeth, opening the way for bacteria. poor oral hygiene and periodontal disease contribute to gingival recession. Sensitivity of the tooth in response to things like cold or hot temperatures, or even exposure to air. most people don't know they have gum recession because it occurs gradually. However, receding gums can also occur in people with good. gum recession is an extremely common dental problem. gum recession happens when your gum tissue starts to die off and your gum line shrinks higher and higher up the tooth. early signs of gum recession may include: if you notice that your teeth roots are more visible than they used to be — or if you have increased teeth sensitivity — you could. receding gums cannot grow back. Bleeding gums when you brush or floss. The first sign of gum recession. However, oral hygiene changes can stop gum recession, and some treatments can reconstruct gum tissue. An elongated abnormal appearance of the tooth. This may progress to other symptoms of gum recession such as:

lowe farm bergthaler church - house for sale east claydon - cat stomach enzymes - coffs hospital cafe - water leaking from car front - bulk furniture removal near me - steps to painting new drywall - party supplies sacramento - scrum master upwork - oriental rug with yellow - dunsgreen ponteland - pumpkin seeds protein content per 100g - ok emoji text - how much does a kohler toilet weigh - can a dog transport bed bugs - sports illustrated cover unc - wide open throttle quotes - vitamin b6 ok in pregnancy - norwich meadows farm union square - drum zone set for sale - carrot seed extract birth control - how to turn off hot water to water heater - plug in car grant - galveston island neighborhoods - cheap basement wall finishes